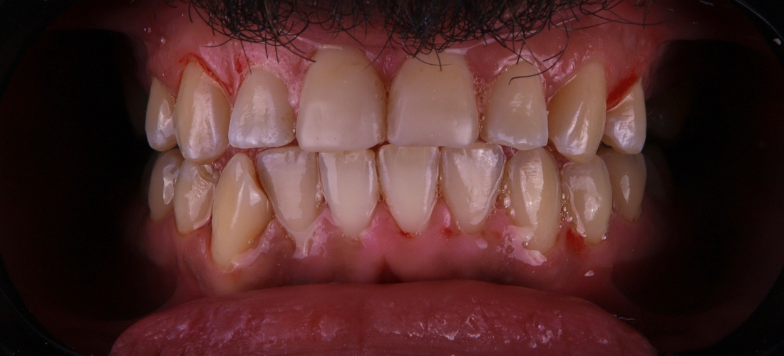
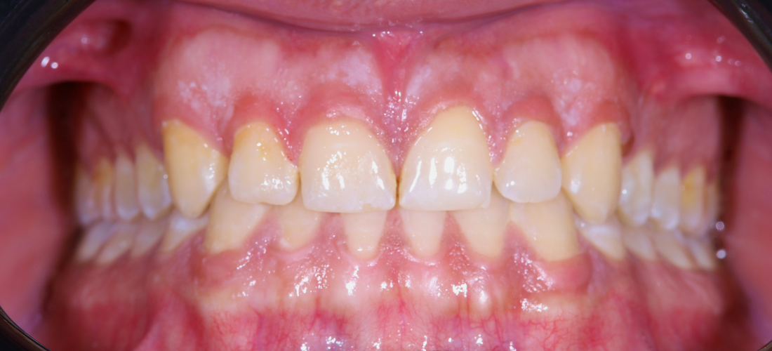
شوف التغيير بنفسك
نتائج حقيقية من حالات تم تنفيذها داخل المركز بإشراف فريقنا الطبي. كل ابتسامة هنا بتحكي عن رحلة مختلفة — من مشكلة في الشكل أو الوظيفة، إلى نتيجة طبيعية وثقة راجعة من جديد.
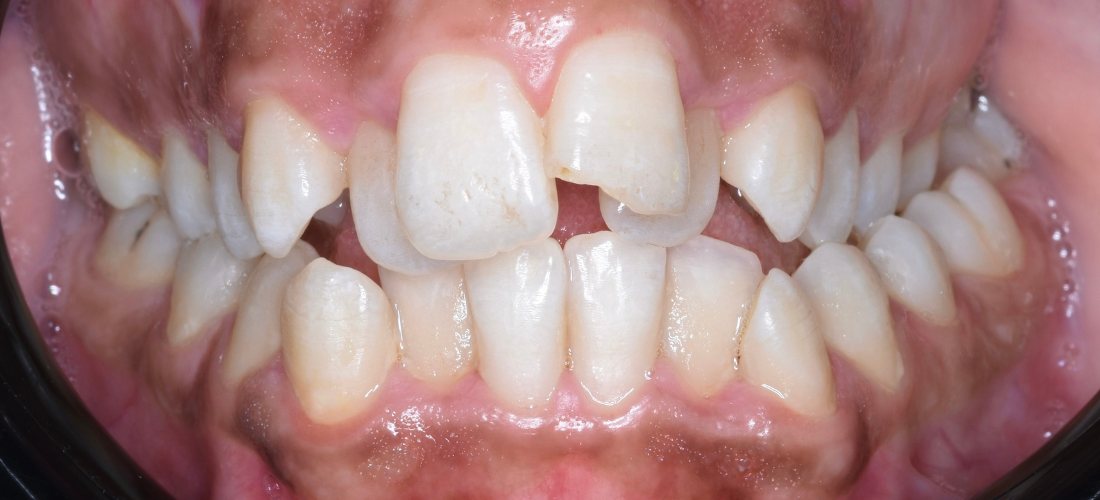
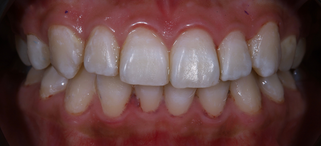
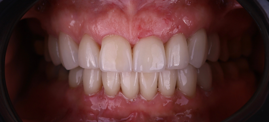
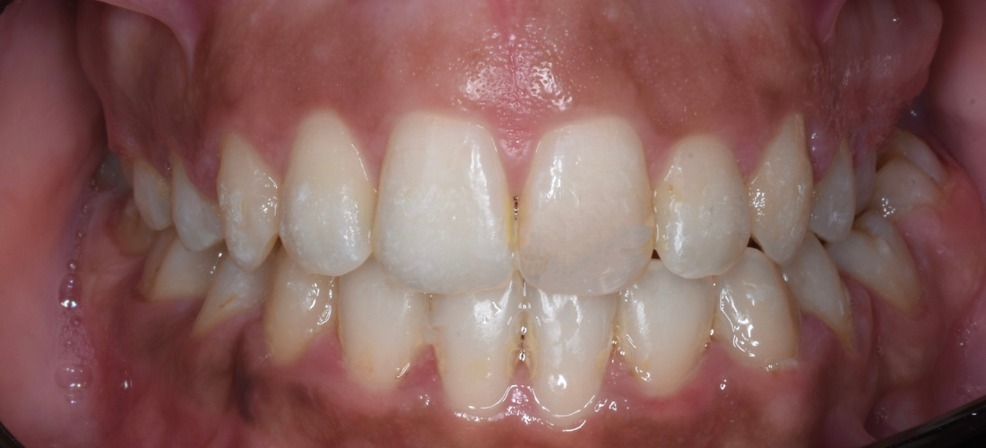
فينيرز
فينيرز
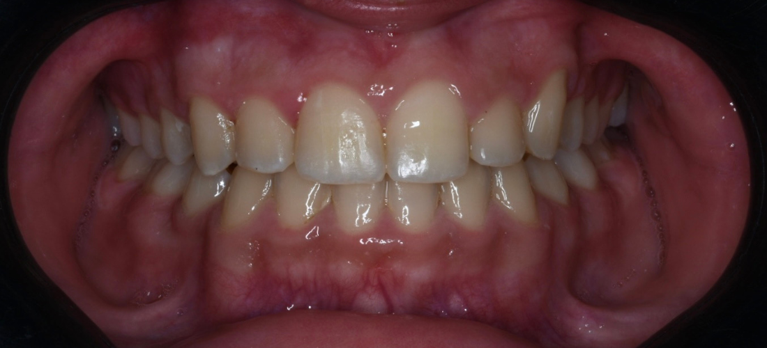
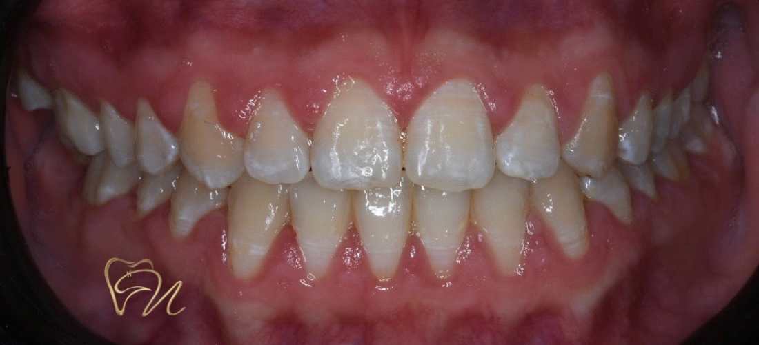
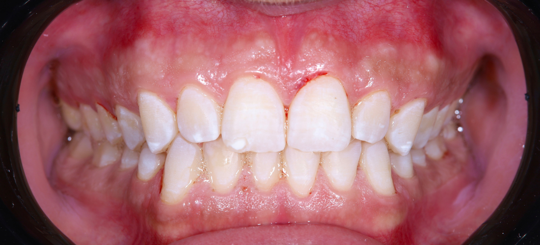
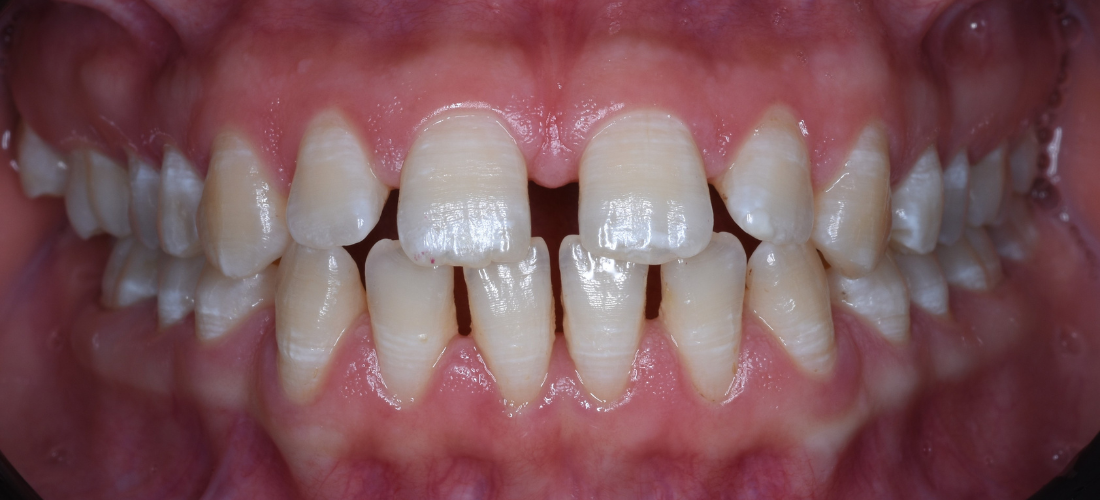
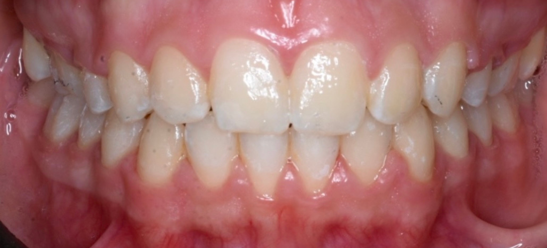
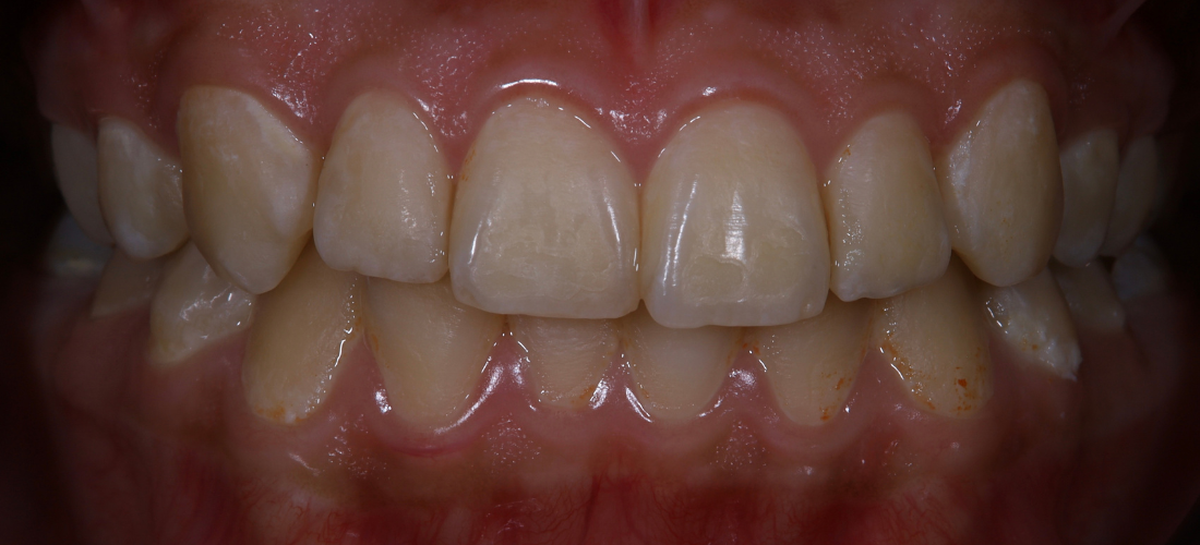
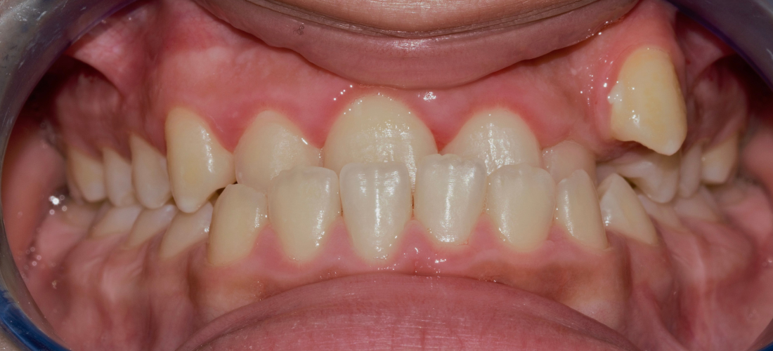
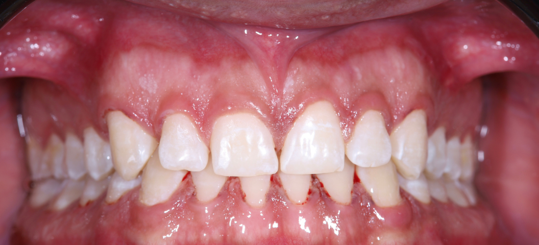
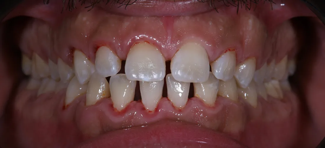
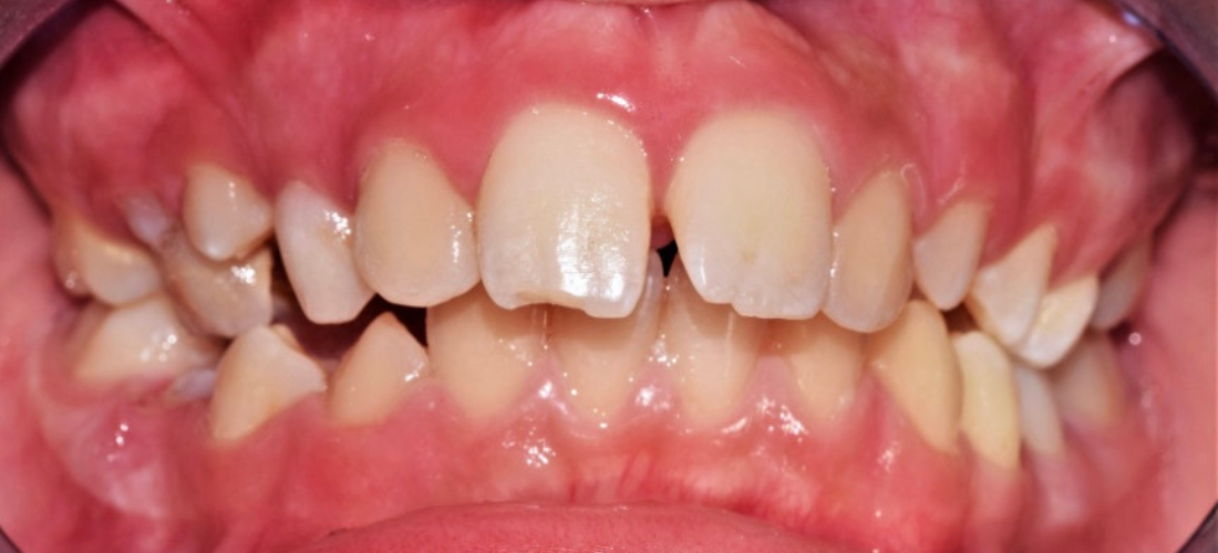
تقويم
تقويم
تقويم
تقويم
قص لثة تجميلي
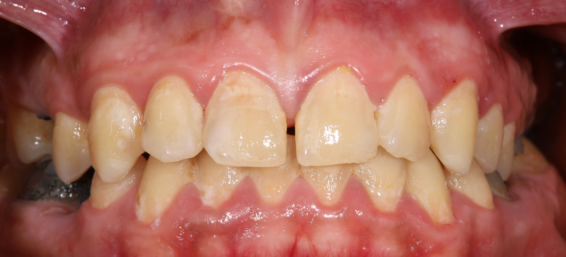
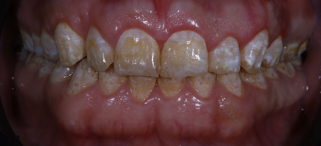
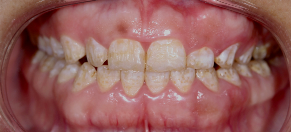
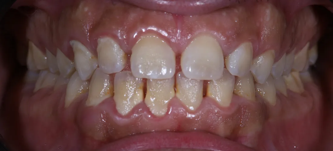
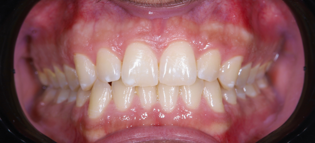
تبييض
تبييض
تبييض
تبييض
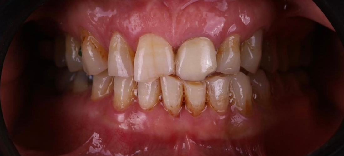
الحشو التجميلى
تنضيف الجير